Deep Cleaning Teeth Before and After (Pictures): My Experience & Is It Safe? (2026)
Medical Disclaimer: I am sharing my personal journey and extensive research regarding my dental deep cleaning…
I still remember the sinking feeling in my stomach. I had gone to the dentist for what I thought would be a quick, routine checkup, only to hear the hygienist calling out numbers: “Four… five… four…” Then came the dreaded verdict: “You have early gum disease, and you need a deep cleaning.”
Like many of you reading this, my mind instantly raced with anxiety. I immediately went home and started searching: Does it hurt? Will it ruin my enamel? And most importantly, is deep cleaning teeth actually safe?
If you’re facing this diagnosis in 2026, take a deep breath. You are not alone, and dentistry has evolved lightyears beyond the painful scraping horror stories you might have heard from a decade ago. In this honest guide, I am stepping away from the dry medical jargon to share exactly what it feels like, the incredible before and after visual results, and how modern dental technology made my experience completely manageable.

The Wake-Up Call: Why Did I Need a Deep Cleaning?
For years, I thought seeing a little “pink in the sink” after brushing was totally normal. I just assumed I was brushing too hard. I was wrong.
A standard dental cleaning only polishes the visible surfaces of your teeth above the gumline. However, if you develop gingivitis or periodontitis, plaque hardens into toxic tartar (calculus) below the gumline. Your gums become inflamed and start pulling away from the teeth, creating “pockets.”
Healthy gums have a pocket depth of 1 to 3 millimeters. Mine were hitting 4 and 5 millimeters. At that depth, your toothbrush and floss are completely useless. If left untreated, the trapped bacteria will literally eat away at the jawbone, leading to loose teeth and eventually tooth loss. A deep cleaning (clinically known as Scaling and Root Planing) is the only way to reach and remove that deep infection.
Is Deep Cleaning Teeth Safe? (Addressing My Biggest Fear)
This was the exact question I typed into the search bar: “Is it safe, or will it damage my teeth?”
The honest answer: Yes, deep cleaning is incredibly safe. In fact, the only real danger is refusing to get it done when your dentist recommends it.
Allowing tartar to remain under your gums is like leaving a toxic splinter in your finger; it will trigger chronic inflammation. Recent 2026 medical studies heavily link untreated gum disease to severe systemic issues, including heart disease, strokes, and diabetes complications. The procedure does not damage your enamel; it merely removes the “dirty cement” that is preventing your gums from healing.
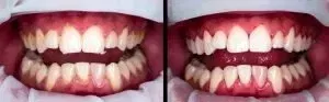
Deep Cleaning Teeth Before and After Pictures: The Visual Proof
Seeing the visual transformation is what finally gave me the courage to sit in the chair. The difference isn’t just cosmetic; it is a total medical reset.

- Before: My gums were puffy, dark red, and looked inflamed. They bled easily, and no matter how much mouthwash I used, I struggled with lingering bad breath.
- After (2-3 Weeks Later): The transformation was undeniable. As the inflammation vanished, my gums turned a healthy, firm, pale pink. They tightly hugged my teeth again, the bleeding completely stopped, and my breath was finally fresh. Note: Your teeth might look slightly “longer” afterward, but this isn’t gum recession—it’s just the swollen, diseased gums shrinking back to their normal, healthy size.
The 2026 Experience: What Actually Happens in the Chair?
If you are picturing an hour of painful scraping with sharp metal hooks, you need to know that dentistry has completely transformed.
While traditional Scaling (removing tartar) and Root Planing (smoothing the tooth roots) are still the foundation, the 2026 delivery is entirely different and incredibly gentle.
1. Pain-Free Numbing
Because the dentist works below the gums, you will be numbed. My clinic used a powerful topical gel before the local anesthetic. I felt a tiny pinch, and then… nothing. During the actual cleaning, I felt absolutely zero pain—just pressure, vibrations, and water. Usually, they split the treatment into two visits (left side, then right side) so your whole face isn’t numb at once.
2. Guided Biofilm Therapy (GBT) & Airflow
Many modern clinics now utilize Guided Biofilm Therapy. They apply a harmless dye that makes all the invisible bacteria glow. Then, instead of aggressive scraping, they use an “Airflow” device—a soothing spray of warm water, air, and fine erythritol powder—to painlessly blast away the soft biofilm.
3. Ultrasonic Scalers and Laser Dentistry
For the hardened tartar, they used a vibrating ultrasonic scaler that gently breaks up the calculus with high-frequency sound waves. The absolute best part? My dentist finished the session with a soft-tissue dental laser. The laser instantly sterilized the deep pockets and sealed the gums, which drastically reduced my bleeding and cut my recovery time in half!
The First 48 Hours: My Real Aftercare Tips
Once the numbing wore off, my gums felt tender and “bruised,” and my teeth were surprisingly sensitive to cold water. This is a normal part of the healing process! Here is how I survived the recovery:
- Warm Saltwater Rinses: I rinsed with a teaspoon of salt in warm water three times a day. It is nature’s best anti-inflammatory and instantly soothed the soreness.
- The Soft Diet: I stuck to smoothies, mashed potatoes, and lukewarm soups for the first 48 hours to avoid poking my tender gums with crunchy foods like chips.
- Sensitivity Toothpaste: Switching to a toothpaste designed for sensitive teeth was a lifesaver for the temporary cold sensitivity.
- Invest in a Water Flosser: Once my gums completely healed, buying a water flosser (like a Waterpik) was a game-changer. It flushes out food particles from those newly cleaned pockets, preventing the tartar from coming back.
Final Thoughts: A Fresh Start for Your Smile
Getting a deep cleaning was the wake-up call I needed to take my oral hygiene seriously. It essentially hit the “reset” button on my mouth. Today, I attend my periodontal maintenance checkups every 3 to 4 months, and my gums have never been healthier.
If your dentist tells you that you need a deep cleaning, don’t let fear hold you back. The 2026 dental advancements make it a highly safe, manageable procedure that will literally save your teeth and protect your overall body health.
Have you recently had a deep cleaning, or are you preparing for one? Let me know your fears or experiences in the comments below—we are all in this dental journey together!







